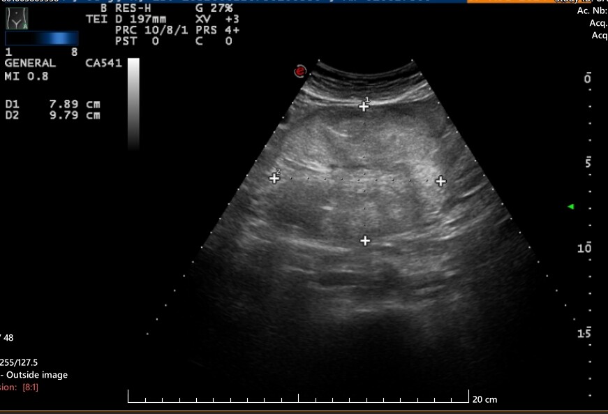
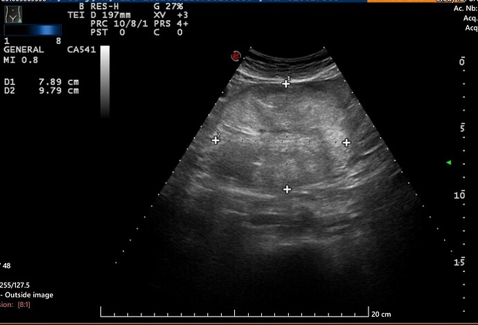
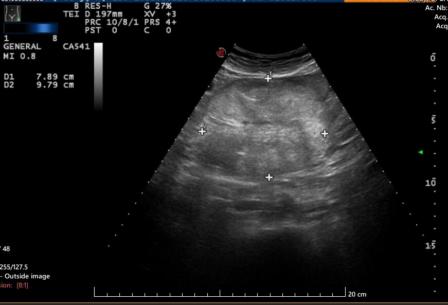
I had an ultrasound of the urinary tract last year and the liver and kidneys. on the scan an ‘incidental’ well defined 9cm hypoechoic ‘mass’ showed up on the final report with minimal vascularity on doppler interrogation at the central abdomen (above umbilicus region).
A week later I had a Abdomen CT Scan with contrast and the final report of that was that there was no abnormality found in the central abdomen and that the ultrasound finding was probably an artefact of the ultrasound imaging - for that reason they will not send me for a follow up with either ultrasound/CT or mri again because they are of the mindset that it was just an artefact and that was that and that there is nothing there even though i am still getting abdomen pains, in that area (just above umbilical cord area) - I cannot also get my head around how something so large at 9cm with a well defined edge and vascularity can be put down to an artefact.
Other investigations I am doing on the internet is pointing to suggests there is something showing up and that it is a mesenteric or retroperitoneal mass when I have sent images of the mass outlined on the ultrasound , and CT slides - what are the changes that maybe the CT radiographer has missed it on the CT slides? - at the moment the doctors have taken the decision that the CT radiographer result is final and that nothing is found and does not warrant another scan.
